Hacemos uso de cookies. Al utilizar nuestros servicios, consideramos que acepta su uso.
Más información
.
Aceptar
Entrar
Registrarse
Buscar
Inicio
Qué es
Quiénes somos
Mi Continuum
Agenda
Menú
Inicio
Que es
Quiénes somos
Mi Continuum
Agenda
Matriz de Competencias
Secciones
Cursos de formación
Imagen de la semana
Casos clínicos interactivos
Novedades bibliográficas
Artículos destacados
Cursos de formación
IA en Pediatría: fundamentos, aplicación asistencial y uso responsable
Ventilación mecánica y soporte respiratorio pediátrico y neonatal 2026
Situaciones clínicas frecuentes en hospitalización: Pediatría Interna Hospitalaria
Inmunizaciones en Pediatría 2026
Identificación y abordaje de la violencia en la infancia y la adolescencia
Trastornos del sueño y cronobiología en Pediatría 2026
XVII Jornadas Inmunizaciones CAV-AEP
Encuentro con la ciencia
72 congreso AEP
Libro de imágenes en Radiología
PMRP Gastroenterología, Hepatología y Nutrición Pediátrica
IA en Pediatría: fundamentos, aplicación asistencial y uso responsable
Ventilación mecánica y soporte respiratorio pediátrico y neonatal 2026
¡Haga clic aquí ahora!
¿Cuál es la dosis óptima de midazolam intranasal como sedante en niños?
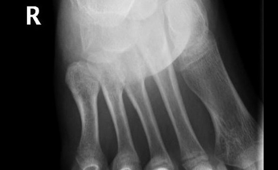
Hallazgo radiográfico tras movimiento anómalo del pie
Manejo del lactante con estridor
¡Haga clic aquí ahora!
Teledermatología: una herramienta útil en la consulta de Atención Primaria
‹
›
Imagen de la semana
¿Cuál es su diagnóstico?
Libros Continuum
Libros de las secciones Imagen de la semana y Casos clínicos interactivos
Casos clínicos interactivos
Manejo del lactante con estridor
Novedades bibliográficas
¿Cuál es la dosis óptima de midazolam intranasal como sedante en niños?
Artículos destacados
Teledermatología: una herramienta útil en la consulta de Atención Primaria
Preparo mi rotación por...
Actualización en...
Píldoras formativas
Herramientas para la consulta
Biblioteca
×
Atención
A partir del
1 de marzo
las tarifas de los cursos de formación y actualización en Continuum serán:
NO SOCIO: 220€
SOCIO: 70€
RESIDENTES: 35€
© 2026 AEP Asociación Española de Pediatría · Paseo Pintor Rosales 22, 1º derecha 28008 Madrid |
Aviso legal
|
Contacto
ISSN: 2444-409X | Desarrollo y edición: Lúa Ediciones 3.0 S.L.
×
Agenda
Por favor active Javascript para poder ver la agenda.
31-3-2026
Imagen de la semana
25-3-2026
Casos clínicos interactivos
Manejo del lactante con estridor
24-3-2026
Imagen de la semana
Hallazgo radiográfico tras movimiento anómalo del pie
19-3-2026
Novedades bibliográficas
¿Cuál es la dosis óptima de midazolam intranasal como sedante en niños?
17-3-2026
Imagen de la semana
¿Qué se esconde entre los dedos? Usemos el dermatoscopio
12-3-2026
Cursos de formación
Situaciones clínicas frecuentes en hospitalización: Pediatría Interna Hospitalaria
11-3-2026
Casos clínicos interactivos
Lesiones mucocutáneas, no siempre es lo que parece
10-3-2026
Imagen de la semana
Doctor, a mi bebé se le ha inflamado el pecho
5-3-2026
Novedades bibliográficas
Diagnóstico diferencial y rendimiento de los algoritmos diagnósticos actuales en encefalitis autoinmune pediátrica con especial foco en pacientes seronegativos
3-3-2026
Imagen de la semana
¿Por qué me duele el pecho, doctora?