Hacemos uso de cookies. Al utilizar nuestros servicios, consideramos que acepta su uso. Más información.

Libros de Imagen de la semana




Actividad no acreditada de acceso libre

Imagen de la semana

Visitas: 795
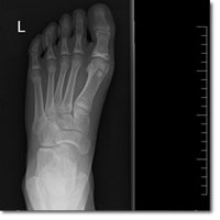
Niña de 12 años que acude a la consulta de Atención Primaria por chasquido en el tobillo de...  
Ibarzabal Arregi M, Álvarez Zallo N, Duart Clemente J.
09 diciembre 2025

Valoración

 
 
 
 
 
 
 
 
 
 
Nº de votos: 1

Realice esta actividad para poder valorarla.

Visitas: 1249
Recién nacida mujer, con peso de 3080 gramos. A la exploración se aprecia un saco íntegro que...  
Torres del Pino M, González Vila L.
02 diciembre 2025

Valoración

 
 
 
 
 
 
 
 
 
 
Nº de votos: 2

Realice esta actividad para poder valorarla.

Visitas: 2107
Niño de cuatro años, con antecedentes de dermatitis atópica, que consulta por múltiples lesiones...  
González Diego D, Guerrero Márquez C, González-Haba Martínez B.
25 noviembre 2025

Valoración

 
 
 
 
 
 
 
 
 
 
Nº de votos: 2

Realice esta actividad para poder valorarla.

Visitas: 1379
Niña de 7 años, sin antecedentes relevantes, que consulta por lesiones cutáneas de 3 días de...  
Campos Magallón P, Senosiain Ibero N, Vázquez Gómez JA.
18 noviembre 2025

Valoración

 
 
 
 
 
 
 
 
 
 
Nº de votos: 2

Realice esta actividad para poder valorarla.

Visitas: 1709
Niño de 24 meses que en una revisión consulta por lesiones hiperpigmentadas de varios meses de...  
Toledo Gotor C, Garmendia Amunarriz M, Salcedo Ciordia L.
11 noviembre 2025

Valoración

 
 
 
 
 
 
 
 
 
 
Nº de votos: 4

Realice esta actividad para poder valorarla.

Visitas: 1134
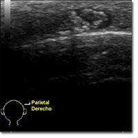
Niña de 8 años, sin antecedentes de interés, que consulta en Atención Primaria por un nódulo en...  
Arenaza Oreja M, Escolano Burgos A, Álvarez García J.
04 noviembre 2025

Valoración

 
 
 
 
 
 
 
 
 
 
Nº de votos: 3

Realice esta actividad para poder valorarla.

Visitas: 1597
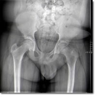
Niña de 10 años de edad con incapacidad para extender completamente la articulación...  
Barrenechea García I, Álvarez Zallo N, Sánchez-Guardamino Sáenz D.
28 octubre 2025

Valoración

 
 
 
 
 
 
 
 
 
 
Nº de votos: 3

Realice esta actividad para poder valorarla.

Visitas: 1200
Niña de 9 años de edad, sin antecedentes de interés, que ingresa por cuadro de fiebre, adenitis...  
Romero Imaz L, del Olmo Segura P, Bueno Campaña M.
21 octubre 2025

Valoración

 
 
 
 
 
 
 
 
 
 
Nº de votos: 2

Realice esta actividad para poder valorarla.

Visitas: 2166
Niño de 2 años que consulta por fiebre junto con lesiones cutáneas descamativas periorales, en...  
Peris Peris A, Gil Piquer R, España Marí M.
14 octubre 2025

Valoración

 
 
 
 
 
 
 
 
 
 
Nº de votos: 5

Realice esta actividad para poder valorarla.

Visitas: 15073
Paciente de 13 años que consulta por una dudosa sensación de disnea. Afebril, sin clínica de...  
Brizuela Delgado J, Alquézar Yus P, Vaquero Monje R.
07 octubre 2025

Valoración

 
 
 
 
 
 
 
 
 
 
Nº de votos: 4

Realice esta actividad para poder valorarla.

Visitas: 4465
Niño de 3 años que acude a consulta por presentar desde hace largo tiempo manchas en los dientes...  
Álvarez García J, Sáez López E, Sánchez Durán MA.
30 septiembre 2025

Valoración

 
 
 
 
 
 
 
 
 
 
Nº de votos: 2

Realice esta actividad para poder valorarla.

Visitas: 2455
Niño de 7 años que acude a consulta de Atención Primaria por aparición de tumoración cervical de...  
Álvarez García J, Sáez López E, Mateos Torre P.
23 septiembre 2025

Valoración

 
 
 
 
 
 
 
 
 
 
Nº de votos: 2

Realice esta actividad para poder valorarla.

Visitas: 5937
Niño de 4 años, sin antecedentes de interés, que consulta en Atención Primaria por lesiones en...  
Arenaza Oreja M, Escolano Burgos A, Álvarez García J.
16 septiembre 2025

Valoración

 
 
 
 
 
 
 
 
 
 
Nº de votos: 3

Realice esta actividad para poder valorarla.

Visitas: 6199
Neonato de 5 días, sin antecedentes de interés, con lesiones cutáneas eritematosas y exudativas...  
Carrión Fenoll C, Cerdán Almendros C, González Santacruz M.
09 septiembre 2025

Valoración

 
 
 
 
 
 
 
 
 
 
Nº de votos: 7

Realice esta actividad para poder valorarla.

Página 1 de 38, mostrando 14 elementos de un total de 519