Hacemos uso de cookies. Al utilizar nuestros servicios, consideramos que acepta su uso. Más información.

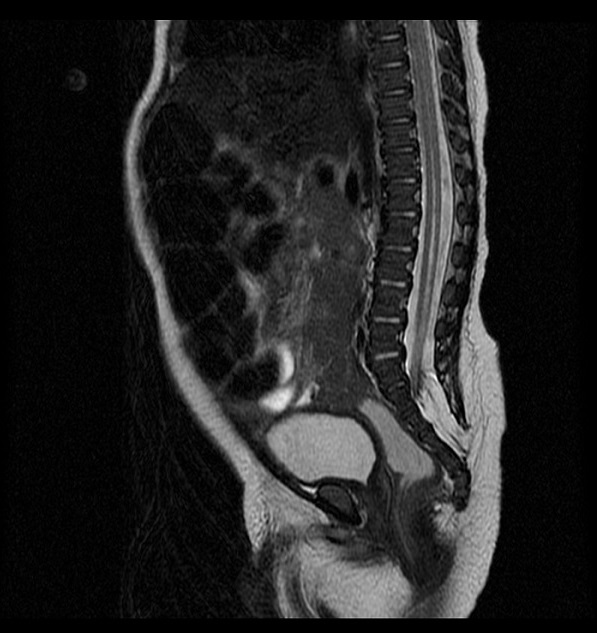
En nuestro paciente se solicita ecografía lumbosacra en que se detecta alteración anatómica. Requiere RM para confirmación. ¿Qué vemos en la prueba de imagen?:

 
 
 
 

Para pasar a la siguiente pantalla es necesario contestar correctamente a esta pregunta.

Pantalla 5 de 13
< >

No hay comentarios
Esta actividad no admite más comentarios
Compartir