Hacemos uso de cookies. Al utilizar nuestros servicios, consideramos que acepta su uso. Más información.

Diagnóstico de urgencias

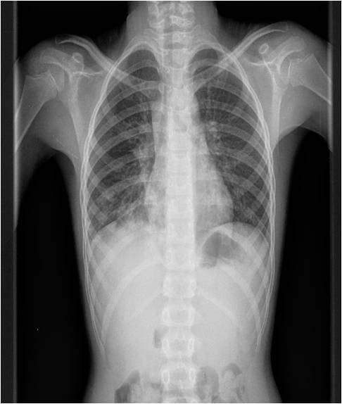
Tras la anamnesis y la exploración clínica, se decide realizar una radiografía de tórax, ¿qué respuesta se adecua más a los hallazgos radiológicos encontrados?

 
 
 
 

Para pasar a la siguiente pantalla es necesario contestar correctamente a esta pregunta.

Pantalla 3 de 17
< >

No hay comentarios
Esta actividad no admite más comentarios
Compartir