Hacemos uso de cookies. Al utilizar nuestros servicios, consideramos que acepta su uso. Más información.

Historia clínica

Revisamos el informe de nuestro paciente:

  • 14/06: acude a Urgencias por una crisis epiléptica. Mal control de esta a pesar de varios antiepilépticos, que resulta en estado de estatus epiléptico durante las primeras 48 horas.
  • 14-15/06: se realiza tomografía craneal (TC) urgente, que es normal. Se realiza punción lumbar (PL) (11 leucocitos, bioquímica normal). Se inicia tratamiento con aciclovir y cefotaxima de forma empírica. Desarrolla cuadro febril sin foco aparente y autorresolutivo.
  • 17-18/06: resultado del análisis de líquido cefalorraquídeo (LCR): virus neurotropos negativos, cultivos aerobio, anaerobio y hongos negativo. Heces: enterovirus. Aspirado nasofaríngeo: rinovirus. Se suspenden aciclovir y cefotaxima.
  • 18-26/06: estabilidad clínica. Mutismo. No presenta nuevas crisis.
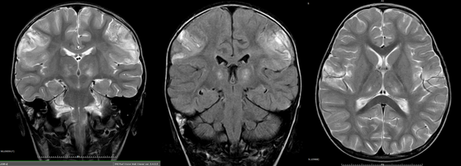
  • 26/06: se realiza resonancia magnética (RM).

RM del 26/06. Alteración de la señal (hiposeñal en IPTI e hiperseñal en ponderaciones de TR largo bilateral cortical de lóbulos parietales (precentrales) y de ganglios de la base (tálamo/pulvinar) en relación con edema/exudado inflamatorio). En las secuencias ponderadas en TI se observa un aumento de la señal, añadidas a zonas de menor señal que, en la secuencia de T2, restringe la señal. Sugestivas de zonas de hemorragia liminar en relación con una probable necrosis cortical laminar bilateral. Estas zonas presentan un realce tras la administración de contraste (cortical y meníngeo), sugiriendo la persistencia de comportamiento inflamatorio-vasculítico necrotizante activo. No hay colecciones focales.

Pantalla 3 de 19
< >

No hay comentarios
Esta actividad no admite más comentarios
Compartir