Hacemos uso de cookies. Al utilizar nuestros servicios, consideramos que acepta su uso. Más información.

Pruebas complementarias (2)

Resto de pruebas complementarias:

  • Hemograma: hemoglobina 13,3 g/dl, hematocrito 39;4%, VCM 75,6 fL, plaquetas 169 000/µl, leucocitos 6400/l (neutrófilos 4850/l, linfocitos 990/l, monocitos 450/l).
  • Marcadores inflamatorios inespecíficos: velocidad de sedimentación globular (VSG): 30 mm la primera hora; PCR: 1,1 mg/l.
  • Bioquímica.
  • Inmunoglobulinas: IgG 1850 mg/dl, IgA 6 mg/dl, IgM 60 mg/dl. IgE 494 UI/ml. C3 140 mg/dl, C4 64 mg/dl.
  • Proteinograma: patrón electroforético compatible con proceso inflamatorio crónico: albúmina 46,6%, alfa 15,5% (2-4), alfa 2 15,1% (6-10), beta 1 5,5% (8-12), gamma 22,3% (12-19).
  • Autoinmunidad.
  • Serologías.
  • Orina: sin hallazgos patológicos.
  • Capilaroscopia: tortuosidades en banco de peces. Capilar en quinto dedo izquierdo en trébol.
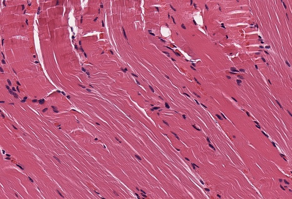
  • Biopsia muscular.

Pruebas de imagen:

  • Radiografía de tórax: sin hallazgos relevantes.
  • Ecografía abdominal: esteatosis pancreática.
  • Resonancia magnética nuclear corporal: alteración de señal de los músculos de la cintura escapular y pelviana de forma bilateral y simétrica, siendo hiperintensos en secuencias STIR compatibles con miopatía.
Pantalla 13 de 23
< >

No hay comentarios
Esta actividad no admite más comentarios
Compartir