Hacemos uso de cookies. Al utilizar nuestros servicios, consideramos que acepta su uso. Más información.

Evolución

Nuestro paciente ingresó con tratamiento con aciclovir intravenoso. En la analítica solicitada no tenía ascenso de reactantes de fase aguda (RFA), y los tóxicos en orina fueron negativos. Se solicitó estudio de LCR, con citobioquímica normal, solicitando reacción en cadena de la polimerasa (PCR) para enterovirus y virus del herpes simple (VHS) y cultivo bacteriano, resultando ambos negativos. El cuadro atáxico se resolvió a las 24 horas del ingreso. Se suspendió aciclovir al cuarto día tras resultado negativo de PCR.

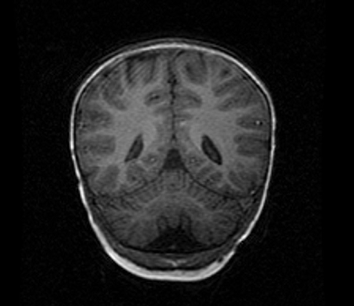
Durante el ingreso, se amplió estudio inicial solicitando electroencefalograma (normal) y estudio metabólico (incluyendo perfil de sialotransferrinas). En espera de los resultados, presenta un nuevo episodio de ataxia y movimientos oculares anormales a los 18 meses, de nuevo en contexto de proceso intercurrente, solicitando en esta ocasión estudio de neurotransmisores y lactato en LCR, con resultado normal y RM cerebral de control, con hallazgo en esta ocasión de leve atrofia cerebelosa no presente en estudio anterior. Con respecto al estudio metabólico, el perfil de sialotransferrinas estaba alterado, presentando un patrón compatible con defecto de la glicosilación tipo 1. Se solicitó estudio genético molecular del gen PMM2 con resultado patológico.

A los 5 años estaba escolarizado con apoyos. En seguimiento en Atención Temprana, con fisioterapeuta y logopedia. Presentaba un lenguaje inmaduro para su edad. Necesitaba ayuda para subir o bajar escaleras, pero deambulaba con normalidad. Adecuada interacción social. Control de esfínteres. En la exploración destacaba hipotonía generalizada, escasa habilidad manual, con afectación cognitiva leve. Hipotonía global. No temblor, ataxia ni dismetría. No nistagmo. Marcha con leve torpeza. Fue valorado por Gastroenterología por fallo de medro, indicando dieta enriquecida calóricamente. Actualmente no existe un tratamiento específico para el defecto PMM2-CDG, siendo el tratamiento de soporte.

Pantalla 11 de 14
< >

No hay comentarios
Esta actividad no admite más comentarios
Compartir