Hacemos uso de cookies. Al utilizar nuestros servicios, consideramos que acepta su uso. Más información.

 

Evolución (1)

Recuperación progresiva de los déficits motores durante el ingreso, manteniendo la leve ptosis palpebral y la hemiparesia izquierda.

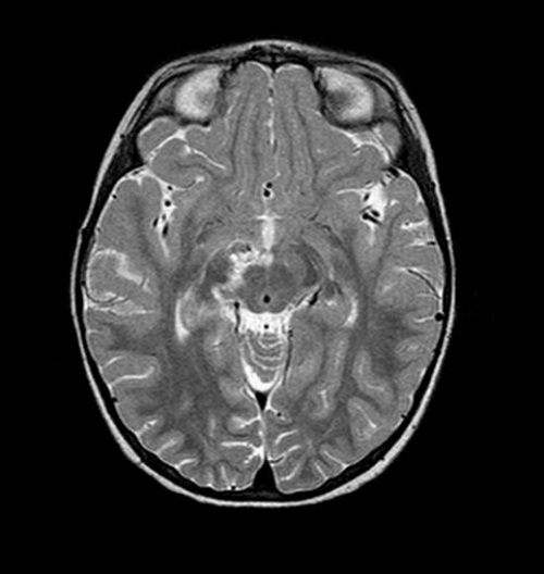
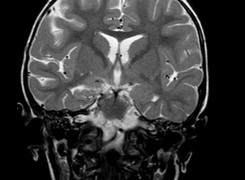
A los 15 días de ingreso, se repite el estudio de imagen, que muestra una disminución significativa de las lesiones descritas en el troncoencéfalo, el hipocampo y el tálamo, con desaparición de la afectación del pálido y tracto óptico retroquiasmático derecho, hallazgos compatibles con encefalitis viral evolucionada.

Pantalla 13 de 20
< >

No hay comentarios
Esta actividad no admite más comentarios
Compartir