Hacemos uso de cookies. Al utilizar nuestros servicios, consideramos que acepta su uso. Más información.
× Para acceder a este contenido hay que identificarse o registrarse

 

Evolución (2)

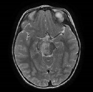
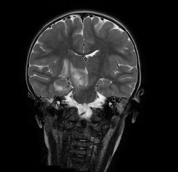
Se realiza resonancia magnética (RM) cerebral, que evidencia lesión mal definida de unos 3,1 × 3,6 cm, heterogénea, hiperintensa en T2 y flair con algunas calcificaciones puntiformes, centrada en pedúnculo cerebral derecho con carácter expansivo. Extensión caudal hacia protuberancia y paramedial izquierda hacia pedúnculo cerebeloso superior derecho. Se extiende también al tálamo derecho. alcanzando el brazo posterior de la cápsula interna, hipocampo y uncus derecho, con afectación corticosubcortical. Presenta mínimo edema perilesional, provocando engrosamiento parcial en la región derecha del quiasma óptico. Produce discreto efecto de masa con parcial obliteración ventricular.

Pantalla 5 de 20
< >

No hay comentarios
Esta actividad no admite más comentarios
Compartir