Hacemos uso de cookies. Al utilizar nuestros servicios, consideramos que acepta su uso. Más información.

Exploraciones complementarias (1)

Los resultados de las pruebas fueron:

  • Analítica y estudio metabólico normales.
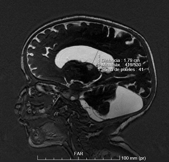
  • RM cerebral compatible con malformación de Dandy-Walker sin cambios respecto a la previa.
  • EEG sin alteraciones.
  • En cuanto a la valoración por Dermatología, se realiza estudio del pelo, observando la imagen que se muestra.
Pantalla 10 de 17
< >

No hay comentarios
Esta actividad no admite más comentarios
Compartir