Hacemos uso de cookies. Al utilizar nuestros servicios, consideramos que acepta su uso. Más información.

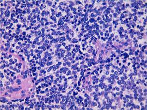
En la anatomía patológica (de la muestra de la laminectomía) se observan células pequeñas, redondeadas y azules. ¿Cuál es la etiología más probable?:

 
 
 
 

Para pasar a la siguiente pantalla es necesario contestar correctamente a esta pregunta.

Pantalla 14 de 20
< >

No hay comentarios
Esta actividad no admite más comentarios
Compartir