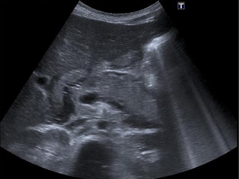
Ecografía abdominal: aumento de tamaño del pácreas con ecogenicidad aumentada y ecoestructura heterogénea con líquido libre peripancreático, periduodenal y saco menor. El resto es normal.
Ante la sospecha de abdomen agudo se solicita analítica sanguínea donde destaca (leucocitosis 25 200/mm3, neutrófilos absolutos 17 600/mm3). Los siguientes resultados, fueron normales: reactantes de fase aguda, coagulación, glucosa, iones, función renal, hepática, alfa amilasa y lipasa. La gasometría venosa presenta una acidosis metabólica leve.
En la ecografía de abdomen se objetiva aumento de tamaño del páncreas con ecogenicidad aumentada y ecoestructura heterogénea con líquido libre peripancreático, periduodenal y saco menor. Resto normal.
No hay comentarios