Hacemos uso de cookies. Al utilizar nuestros servicios, consideramos que acepta su uso. Más información.

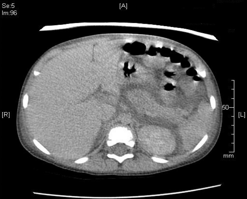
TC abdominal: páncreas aumentado de tamaño, sin áreas de necrosis ni imágenes quísticas en el parénquima. Líquido libre en retroperitoneo y derrame pleural izquierdo. Riñones de tamaño normal y aspecto globuloso.

Pruebas diagnósticas

Se reciben los resultados: elevación de reactantes PCR (117mg/L) y PCT (39.8ng/ml), hipoproteinemia (3,2 g/dl), hipoalbuminemia (0,3 g/dl) e hipertrigliceridemia (278mg/dL). Resto normal.

En orina en micción aislada un cociente proteínas/creatinina 9724,49 mg/g.

Se repite la ecografía abdominal, con aumento de líquido libre, persistiendo aumento del tamaño del páncreas y ecoestructura heterogénea. Se realiza una tomografía computarizada (TC) abdominal para confirmación diagnóstica.

Pantalla 8 de 15
< >

No hay comentarios
Esta actividad no admite más comentarios
Compartir