Hacemos uso de cookies. Al utilizar nuestros servicios, consideramos que acepta su uso. Más información.

Pruebas de imagen

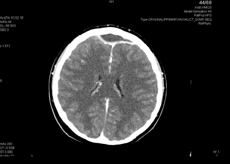
Ante los hallazgos del fondo de ojo se decide realizar una tomografía computarizada (TC) craneal, que es compatible con sinusitis en senos paranasales izquierdos frontal, maxilar y celdillas etmoidales anteriores-medias complicada con absceso epidural anterior bifrontal (de 6 × 2 cm) y solución de continuidad/dehiscencia milimétrica en pared posterior de seno frontal izquierdo.

Tras 2 semanas de evolución de la sinusitis, el fondo de ojo y la prueba de imagen (TC craneal) fueron claves para llegar al diagnóstico.

Pantalla 7 de 16
< >

No hay comentarios
Esta actividad no admite más comentarios
Compartir