Hacemos uso de cookies. Al utilizar nuestros servicios, consideramos que acepta su uso. Más información.

Pruebas complementarias

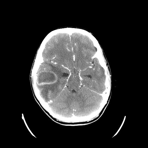
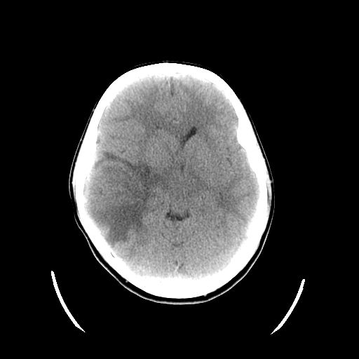
Se realiza una TC craneal urgente con el siguiente resultado: tumoración intraaxial temporal derecha de aproximadamente 39 × 44 mm, con edema perilesional que colapsa asta frontal del ventrículo ipsilateral con dilatación de asa temporal y desviación discreta de línea media con captación de contraste periférica.

Pantalla 7 de 17
< >

No hay comentarios
Esta actividad no admite más comentarios
Compartir