Hacemos uso de cookies. Al utilizar nuestros servicios, consideramos que acepta su uso. Más información.

 

Pruebas complementarias

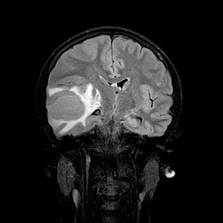
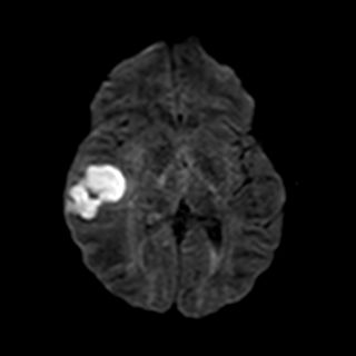
Se realiza una RM con el siguiente resultado: colección temporal derecha de aspecto polilobulado, con un eje máximo anteroposterior de aproximadamente 44 mm, que presenta marcada restricción de la difusión, así como realce parietal tras la administración de contraste. Dicha colección asocia importante edema perilesional que condiciona efecto masa sobre el sistema ventricular ipsilateral con desviación de la línea media hacia la izquierda aproximadamente 7 mm. Los hallazgos descritos son compatibles con absceso.

Pantalla 9 de 17
< >

No hay comentarios
Esta actividad no admite más comentarios
Compartir