Hacemos uso de cookies. Al utilizar nuestros servicios, consideramos que acepta su uso. Más información.

Pruebas de imagen

Resultados de pruebas de imagen, efectuadas en la paciente:

  • Ecografía de canal vertebral: cono medular a la altura de L3. Dilatación quística en inicio de filum terminal. Lesión cutánea umbilicada en zona lumbar, sin comunicación con planos profundos.
  • Ecografía cerebral: normal.

La paciente se fue de alta de maternidad, y se completó el estudio de imagen de manera programada:

  • Resonancia magnética (RM) cerebral: normal.
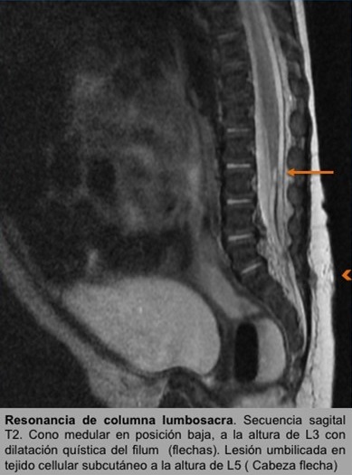
  • RM de columna lumbosacra: hallazgos compatibles con disrafismo espinal oculto, seno dérmico con obliteración fibrosa de la comunicación con canal vertebral en paciente con médula anclada (cono medular a la altura de cuerpo vertebral L3) que asocia dilatación quística del filum terminal y lipomatosis.

 

Pantalla 8 de 18
< >

No hay comentarios
Esta actividad no admite más comentarios