Hacemos uso de cookies. Al utilizar nuestros servicios, consideramos que acepta su uso. Más información.
Más información

Introducción

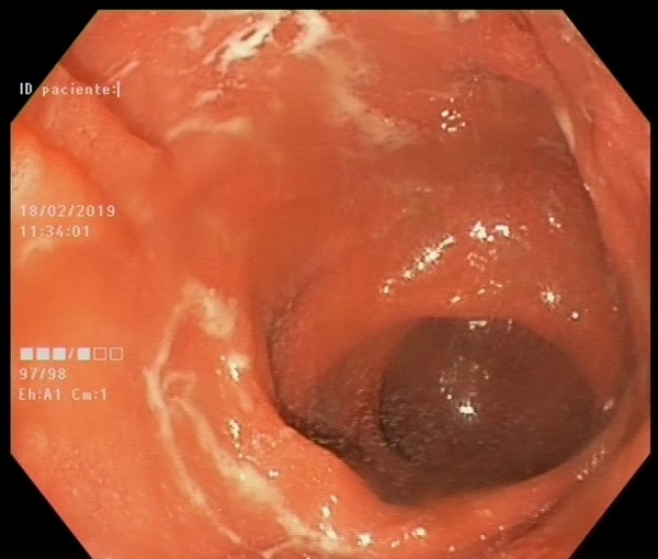
Varón de 12 años remitido a consultas externas de Gastroenterología pediátrica por hematoquecia de 1 mes de evolución. No presenta alergias alimentarias ni medicamentosas conocidas y el calendario vacunal está actualizado.

Tras la valoración clínica inicial y ante estudios analíticos sugestivos de inflamación intestinal se decide realizar una colonoscopia total e ileoscopia con toma de biopsias. El diagnóstico es claro: rectosigmoiditis ulcerosa y afectación de colon derecho. Ante debut de colitis ulcerosa se inicia tratamiento de mantenimiento con mesalazina vía rectal y oral1.

Pantalla 1 de 20
>

No hay comentarios
Esta actividad no admite más comentarios