Hacemos uso de cookies. Al utilizar nuestros servicios, consideramos que acepta su uso. Más información.

Biopsia renal

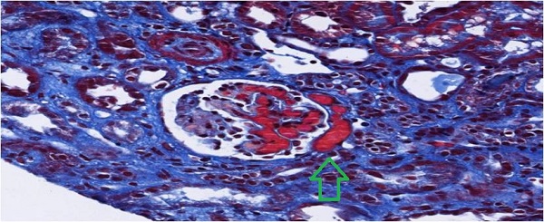
La biopsia renal confirma el diagnóstico de MAT aguda/subaguda con signos de actividad importantes.

Cilindro renal donde se observan glomérulos trombosados

Glomérulo con la presencia de semiluna

Pantalla 11 de 20
< >

No hay comentarios
Esta actividad no admite más comentarios