Hacemos uso de cookies. Al utilizar nuestros servicios, consideramos que acepta su uso. Más información.

Pruebas complementarias (II)

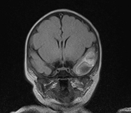
Dentro del estudio de extensión, se realizó electroencefalograma, que resultó normal. También se solicitó RM cerebral, en la que se encontraron áreas de edema y focos hemáticos necrotizantes. Destacaron lesiones en ambos lóbulos temporales y ambas coronas radiadas, siendo estos hallazgos compatibles con encefalitis infecciosa.

Imágenes de RM cerebral en las que se observan áreas de edema parenquimatoso que afectan a ambas coronas radiadas, polo anterior del lóbulo temporal izquierdo y la circunvolución media temporal derecha. En algunas áreas afectadas de los lóbulos temporales se identifican zonas de necrosis cortical. Por otra parte también hay focos de hemorragia subaracnoidea, de predominio en el polo anterior del lóbulo temporal izquierdo, así como mínima hemorragia subdural a nivel de los tentorios y en la vertiente posterior del hoz cerebral.

Pantalla 6 de 17
< >

No hay comentarios
Esta actividad no admite más comentarios