Hacemos uso de cookies. Al utilizar nuestros servicios, consideramos que acepta su uso. Más información.
Esta actividad ya está finalizada.

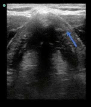
¿Qué estructura es señalada en las siguientes imágenes?

 
 
 
 

Para pasar a la siguiente pantalla es necesario contestar correctamente a esta pregunta.

Pantalla 11 de 18
< >

No hay comentarios
Esta actividad no admite más comentarios