Hacemos uso de cookies. Al utilizar nuestros servicios, consideramos que acepta su uso. Más información.

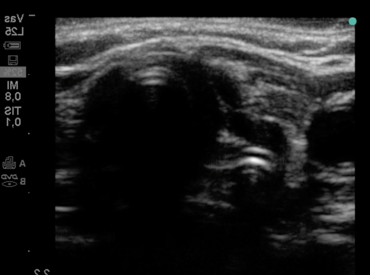
La siguiente imagen de ecografía corresponde a un control posintubación. ¿Ha sido exitosa esta intubación?

 
 
 
 

Para pasar a la siguiente pantalla es necesario contestar correctamente a esta pregunta.

Pantalla 13 de 18
< >

No hay comentarios
Esta actividad no admite más comentarios