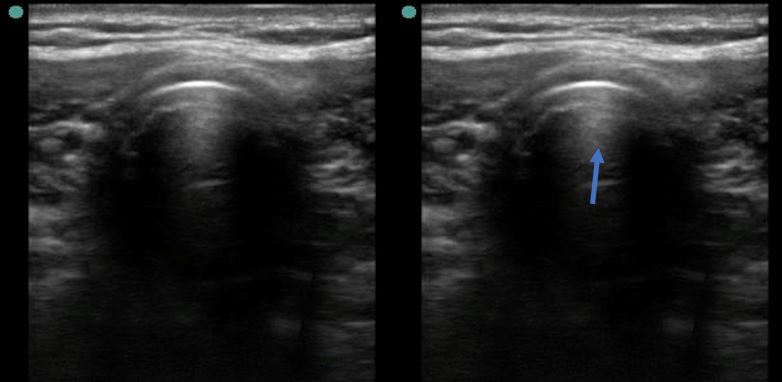
Se observa una única columna de gas, perteneciente a la tráquea (azul), sin identificarse gas en el esófago (estructura posterior y lateral a la tráquea).
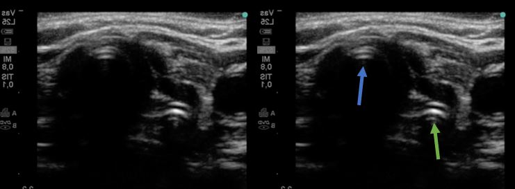
Observamos la presencia de doble columna de gas (en tráquea, en azul, y en esófago, en verde), debido a la presencia del tubo endotraqueal en el esófago.
Se realiza intubación orotraqueal sin incidencias, comprobándose posteriormente la correcta posición del tubo mediante el protocolo TRUE (Tracheal Rapid Ultrasound Scan). Este protocolo determina la presencia de una única columna de gas (indicando intubación endotraqueal correcta) o de una doble columna de gas, traqueal y esofágica (indica intubación esofágica, puesto que el esófago no genera artefacto de gas salvo que se encuentre intubado).
No hay comentarios