Hacemos uso de cookies. Al utilizar nuestros servicios, consideramos que acepta su uso. Más información.

Primer caso (4)

Se realiza protocolo ecoguiado de destete respiratorio, incluyendo test de vaciamiento del manguito del tubo endotraqueal para comprobar el riesgo de estridor. Durante el procedimiento ecográfico, al deshinchar el manguito, se visualiza un artefacto de gas alrededor del tubo endotraqueal, lo que nos indica la ausencia de edema subglótico (bajo riesgo de estridor posextubación). Se procede a la extubación sin incidencias.

En la figura 5, con manguito hinchado, se observa el artefacto de gas (flecha azul) correspondiente al tubo endotraqueal a nivel de la glotis.

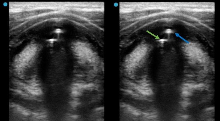
En la figura 6, con manguito vaciado, se observan dos artefactos de gas, el del tubo endotraqueal (flecha azul) y el del aire peritubo (flecha verde), que traducen la ausencia de un edema subglótico.

En el siguiente vídeo podemos apreciar el signo de la doble columna de gas que indica la ausencia de edema subglótico.

Pantalla 7 de 18
< >

No hay comentarios
Esta actividad no admite más comentarios