Hacemos uso de cookies. Al utilizar nuestros servicios, consideramos que acepta su uso. Más información.

Pruebas complementarias

Se extrae hemocultivo y analítica sanguínea, en la que destaca:

  • Hb: 11,9 g/dl.
  • Plaquetas: 263 000/mm3.
  • Leucocitos: 20 050/mm3.
  • Neutrófilos: 15 750/mm3.
  • PCR: 130 mg/l.
  • Función hepática y renal y coagulación básica: normales.

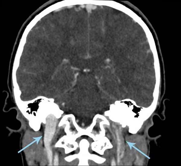
Se realiza TC craneocervical con contraste, objetivándose otomastoiditis complicada con trombosis de senos venosos cerebrales (seno sigmoide izquierdo, seno recto y ambos senos transversos), además de absceso en espacio cervical posterior izquierdo de aproximadamente 27 x 10 x 16 mm. Se informa de adecuada permeabilización de vena yugular interna izquierda.

Pantalla 10 de 18
< >

No hay comentarios
Esta actividad no admite más comentarios