Hacemos uso de cookies. Al utilizar nuestros servicios, consideramos que acepta su uso. Más información.

Pruebas complementarias

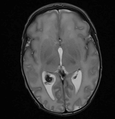
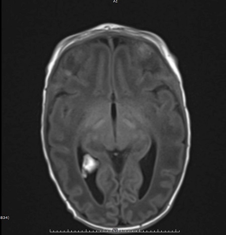
Con el objetivo de caracterizar mejor la lesión, se solicita RM, donde se evidencia un aumento de tamaño y engrosamiento del plexo coroideo derecho sugerente de plexitis como signo precoz de meningitis aguda, sin signos de ventriculitis.

Resonancia magnética. Aumento de tamaño y engrosamiento de plexo coroideo derecho sugerente de plexitis como signo precoz de meningitis aguda, sin signos de ventriculitis.

Pantalla 10 de 18
< >

No hay comentarios
Esta actividad no admite más comentarios