Hacemos uso de cookies. Al utilizar nuestros servicios, consideramos que acepta su uso. Más información.

 

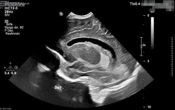
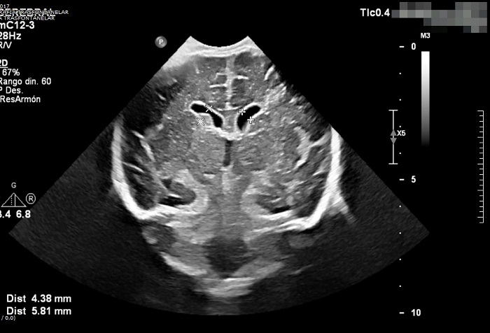
Ecografía transfontanelar. Hidrocefalia leve con prominencia e irregularidad de los plexos coroideos con posible ocupación de las astas occipitales de ventrículos laterales (de predominio derecho). Se sospecha la posibilidad diagnóstica de ventriculitis en paciente con diagnóstico de meningitis aguda.

Pruebas complementarias

Se obtiene un LCR hemático y en la bioquímica se observa hipoglucorraquia de 13 mg/dl, con 382 mg/dl de proteínas. No se puede realizar contaje celular por muestra escasa y contaminación hemática.

Se realiza microarray para microorganismos neurótropos.

No es posible analizar la ADA debido a interferencias por hemólisis. Debido a la alteración bioquímica en el LCR, se decide realizar ecografía transfontanelar, que muestra dilatación ventricular sugerente de ventriculitis. 

Pantalla 8 de 18
< >

No hay comentarios
Esta actividad no admite más comentarios