One fine body…
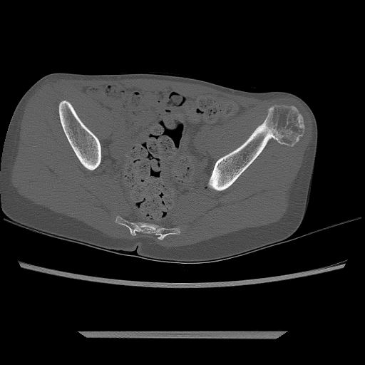
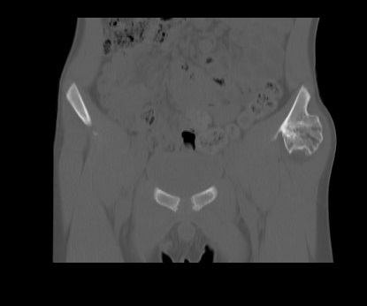
Es el tumor óseo primario benigno más frecuente con crecimiento en la superficie externa de un hueso.
Tiene cavidad medular que se continúa con la cavidad del hueso subyacente y un capuchón cartilaginoso recubriendo el espolón óseo, localizándose en metáfisis.
La mayoría aparecen espontáneamente, pero hay casos tras radioterapia o postraumáticos.
La localización más frecuente es en el fémur distal, y también alrededor de la rodilla o en la parte proximal del húmero.
La clínica más frecuente es una masa indolora próxima a una articulación o en el esqueleto axial, o una masa dolorosa asociada a un traumatismo local. Aunque en algunos casos pueden causar problemas funcionales (disminución de la amplitud de movimiento), deformidad y fractura patológica.
Los osteocondromas situados en las costillas se pueden asociar a complicaciones como neumotórax, hemotórax o derrame pericárdico.
Estamos guardando su comentario
No hay comentarios
Normas de uso del foro Esta sección es una actividad formativa individual, no tutorizada y de periodicidad quincenal. En ella el pediatra accede de forma independiente a los materiales didácticos.
No obstante, cada artículo lleva asociado un foro de discusión, para que los alumnos que lo deseen puedan hacer comentarios en relación a los contenidos del mismo, y recabar las opiniones, las experiencias y los conocimientos compartidos por el resto de discentes.
Se espera que estas discusiones asincrónicas y bidireccionales ayuden a establecer y construir conclusiones sobre el tema abordado.
El foro permanecerá abierto durante las fechas indicadas en la descripción de la unidad docente.
La participación del alumno en el mismo está supeditada al registro previo en la plataforma, y en caso de no ser socio de la AEP, a la formalización de la inscripción en dicha actividad.
Otras dudas que puedan surgir, en relación con la plataforma o la organización de la actividad, no deben formularse en el foro, sino a través del buzón de sugerencias de CONTÍNUUM.
Por favor active Javascript para poder ver la agenda.





