Más información

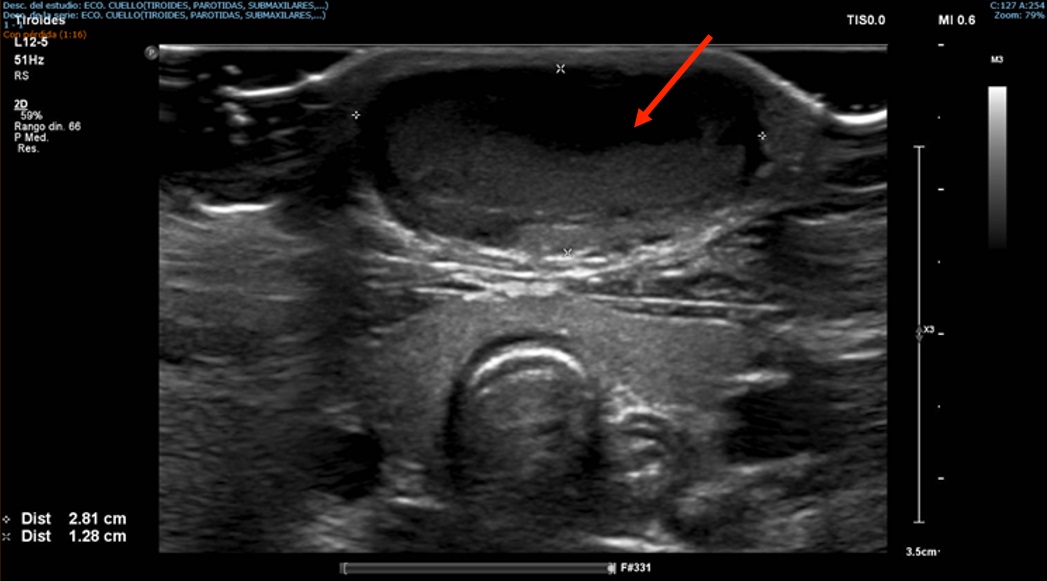
Niño de 4 años que consulta en Urgencias por tumoración cervical en línea media anterior del cuello de 3 meses de evolución que ha ido en aumento (Figura 1). Durante la última semana ha presentado dolor y enrojecimiento en la zona. No asocia distrés respiratorio, disfagia ni fiebre. No presenta antecedentes médicos relevantes.
A la exploración destaca una masa cervical anterior móvil, blanda, que aumenta de tamaño con la deglución.
Realice esta actividad para poder valorarla.
Ver comentarios