One fine body…

Radiografía al ingreso. Se observa imagen gástrica y total ausencia de aire distal. La sonda nasogástrica ha reducido la distensión gástrica típica de este cuadro. Se observa catéter en vena umbilical.
|
No es correcta.
La obstrucción a nivel duodenal se caracteriza por vómitos, que serán biliosos si la obstrucción está por debajo de la ampolla de Vater o con contenido gástrico si está por encima. Radiológicamente se observa una imagen llamada de “doble burbuja” secundaria a la distensión del estómago y de la porción de duodeno previa a la obstrucción. ¿Desea saber más sobre urgencias quirúrgicas en el periodo neonatal? | |
|
No es correcta. Debuta con un cuadro de vómitos biliosos asociado a deterioro clínico progresivo. La radiografía muestra una o dos asas dilatadas y edematosas en el centro del abdomen (imagen en “grano de café”) y la ecografía muestra ausencia del flujo sanguíneo. Representa una urgencia quirúrgica.
| |
|
No es correcta. Asocia distensión abdominal baja y vómitos biliosos. En la radiografía se observan niveles hidroaéreos grandes por encima de la obstrucción y pobre o nula aireación distal.
| |
|
Respuesta correcta.
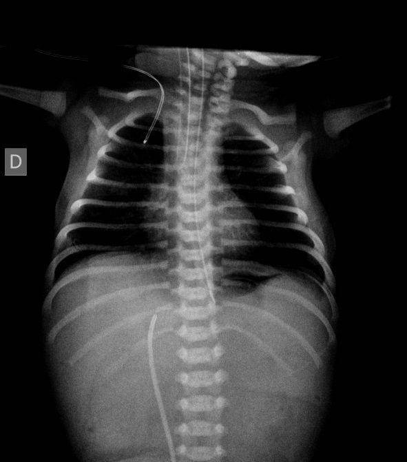
La atresia de píloro debuta como un cuadro de vómitos alimenticios muy próximos al nacimiento con mínima distensión abdominal en la zona del epigastrio. En la radiografía se observa una única imagen aérea correspondiente al estómago dilatado. No se observa aire distal. Debido a la colocación de la sonda nasogástrica, la dilatación gástrica es pequeña. Consideraciones sobre las obstrucciones intestinales en el periodo neonatal. Los vómitos con o sin intervalo libre de síntomas asociados a polihidramnios en las ecografías prenatales son muy sugestivos de obstrucción a lo largo del tubo digestivo. Las obstrucciones pueden ser intrínsecas: estenosis, atresias o diafragmas, o extrínsecas en caso de vólvulos sobre malrrotaciones de un asa o por compresión externa (páncreas anular, duplicación digestiva). El tratamiento de todas ellas es quirúrgico:
| |
Para pasar a la siguiente pantalla es necesario contestar correctamente a esta pregunta.
Estamos guardando su comentario
No hay comentarios
Normas de uso del foro Esta sección es una actividad formativa individual, no tutorizada y de periodicidad quincenal. En ella el pediatra accede de forma independiente a los materiales didácticos.
No obstante, cada artículo lleva asociado un foro de discusión, para que los alumnos que lo deseen puedan hacer comentarios en relación a los contenidos del mismo, y recabar las opiniones, las experiencias y los conocimientos compartidos por el resto de discentes.
Se espera que estas discusiones asincrónicas y bidireccionales ayuden a establecer y construir conclusiones sobre el tema abordado.
El foro permanecerá abierto durante las fechas indicadas en la descripción de la unidad docente.
La participación del alumno en el mismo está supeditada al registro previo en la plataforma, y en caso de no ser socio de la AEP, a la formalización de la inscripción en dicha actividad.
Otras dudas que puedan surgir, en relación con la plataforma o la organización de la actividad, no deben formularse en el foro, sino a través del buzón de sugerencias de CONTÍNUUM.
Por favor active Javascript para poder ver la agenda.





