Hacemos uso de cookies. Al utilizar nuestros servicios, consideramos que acepta su uso. Más información.

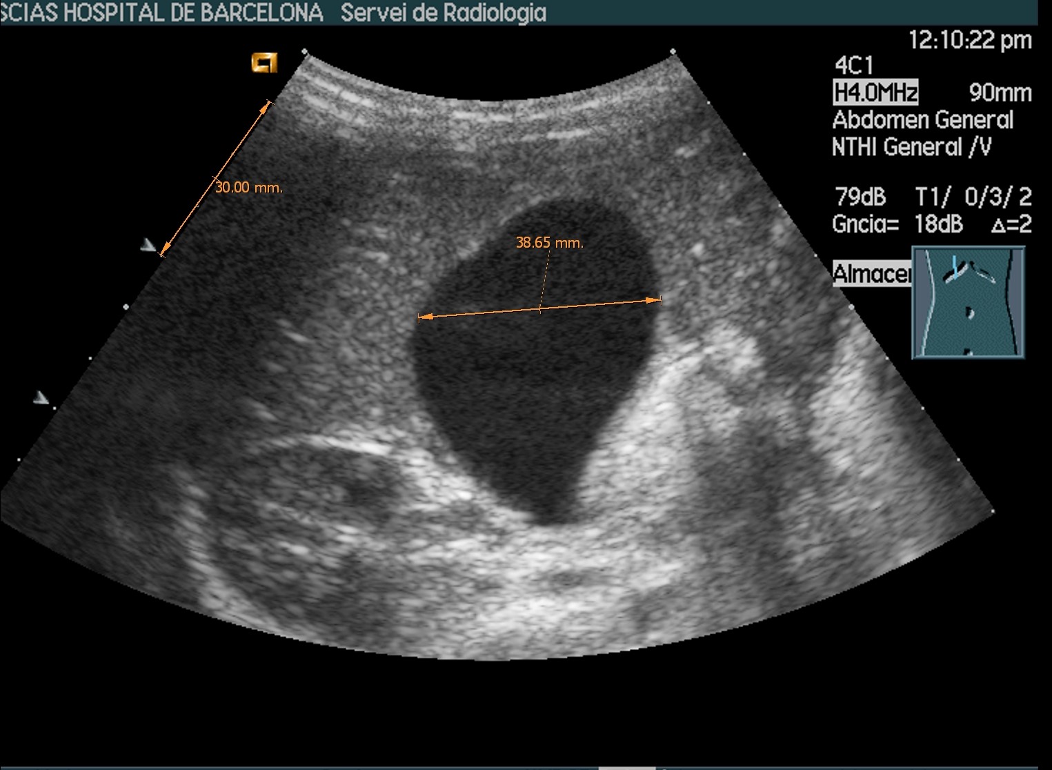
Se realiza ecosonograma abdominal donde se observa una vesícula biliar distendida, de 3,8 cm en el corte transversal, con contenido espeso en su interior, sin dilatación de vías biliares, ni imagen de litiasis.

¿Cuál es su sospecha diagnóstica?

 
 
 
 

Para pasar a la siguiente pantalla es necesario contestar correctamente a esta pregunta.

Pantalla 6 de 11
< >

No hay comentarios
Esta actividad no admite más comentarios
Compartir