Hacemos uso de cookies. Al utilizar nuestros servicios, consideramos que acepta su uso. Más información.

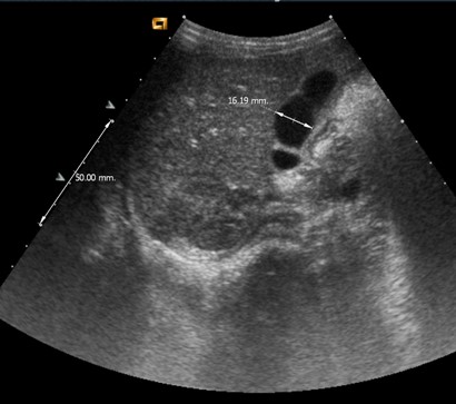
El paciente presenta mejoría notable del cuadro clínico a lo largo del ingreso hospitalario.

¿Realizaría usted algún estudio complementario tras el alta?

 
 
 
 

Para pasar a la siguiente pantalla es necesario contestar correctamente a esta pregunta.

Pantalla 8 de 11
< >

No hay comentarios
Esta actividad no admite más comentarios
Compartir