Hacemos uso de cookies. Al utilizar nuestros servicios, consideramos que acepta su uso. Más información.

Clínica. Diagnóstico de hepatitis autoinmune

El diagnóstico de hepatitis autoinmune se basa, por tanto, en la presencia de síntomas y alteraciones bioquímicas, autoanticuerpos, una anatomía patológica hepática compatible, la exclusión de otras entidades clínicas y la respuesta al tratamiento inmunosupresor.

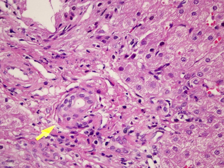
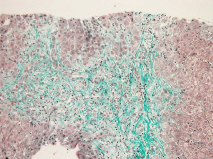
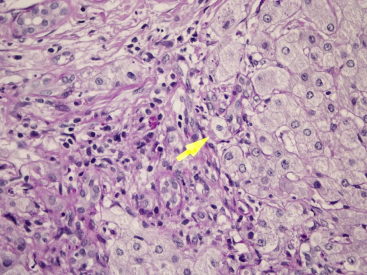
En la biopsia realizada a la paciente, se observa una arquitectura hepática alterada por la presencia de proliferación de tejido conjuntivo e infiltrado inflamatorio que rompe la lámina limitante. Proliferación de conductillos que en ocasiones están dañados. Focos inflamatorios en el parénquima y hepatocitos balonizados. En conclusión, hepatitis crónica activa, grado 3/6 de fibrosis y 9/18 de actividad, compatible con etiología autoinmune.

Pantalla 11 de 19
< >

No hay comentarios
Esta actividad no admite más comentarios
Compartir