Hacemos uso de cookies. Al utilizar nuestros servicios, consideramos que acepta su uso. Más información.

Pruebas complementarias: ecografía y gammagrafía

A pesar de la normalidad de la colonoscopia con ileoscopia y la evidente lesión vellositaria, la ausencia de mejoría tras la dieta sin gluten, la elevación de los reactantes de fase aguda y la historia familiar de la niña, hace conveniente continuar investigando la posible existencia de una enfermedad de Crohn.

Se solicitan en este momento los siguientes estudios complementarios:

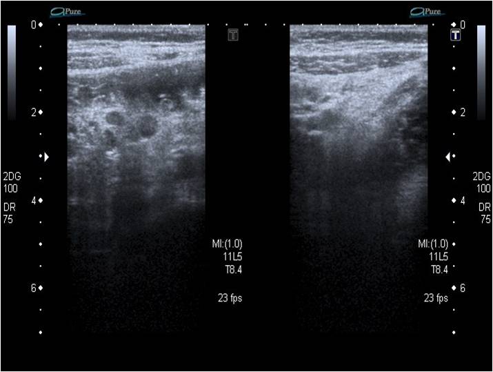
  • Ecografía abdominal: hígado, vesícula y vías biliares, riñones, vía urinaria, vejiga, páncreas y bazo sin alteraciones. Las asas del intestino delgado y el colon muestran una pared de grosor normal y un discreto aumento de peristalsis. Llama la atención la hiperecogenicidad de grasa mesentérica, con múltiples y pequeñas adenopatías en su interior y un aumento de vascularización. Pequeña cantidad de líquido libre en fosa ilíaca derecha. Estos hallazgos sugieren, teniendo en cuenta información clínica, la posibilidad de enfermedad inflamatoria intestinal.
  • Gammagrafía con leucocitos marcados: en imagen precoz, depósito difuso de baja intensidad, de leucocitos marcados en hemiabdomen izquierdo sin que se delimite el contorno del asa intestinal. En imágenes tardías permanece dicho depósito, apareciendo dos pequeños acúmulos focales bilaterales a la altura de hemiabdómenes derecho e izquierdo. No se cumplen los criterios gammagráficos de EII en fase activa en el momento actual.
  • Calprotectina fecal: 247 mcg/g.
  • Hemograma con VSG: 556.000 plaquetas/microL; VSG 64 mm.
  • Bioquímica: albúmina 32 g/l; orosomucoide 72 mg/dl; PCR 1,1 mg/dl.
Pantalla 8 de 19
< >

No hay comentarios
Esta actividad no admite más comentarios
Compartir