Hacemos uso de cookies. Al utilizar nuestros servicios, consideramos que acepta su uso. Más información.

Diagnóstico

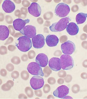
El resultado de la biopsia es compatible con el diagnóstico de leucemia linfoblástica aguda de celulas B precursoras con infiltración cutánea.

Pantalla 8 de 13
< >

No hay comentarios
Esta actividad no admite más comentarios
Compartir