Hacemos uso de cookies. Al utilizar nuestros servicios, consideramos que acepta su uso. Más información.

Pruebas complementarias

Como hemos constatado, la exploración física manifiesta una discreta disminución de la entrada de aire en el hemitórax derecho.

Le realizamos las siguientes pruebas diagnósticas:

  • Analítica: proteína C reactiva (PCR) 348 mg/l, leucocitos 12,72 10E3/µl. Resto normal.
  • Lavado nasal para gripe y VRS: negativo.
  • Hemocultivo.
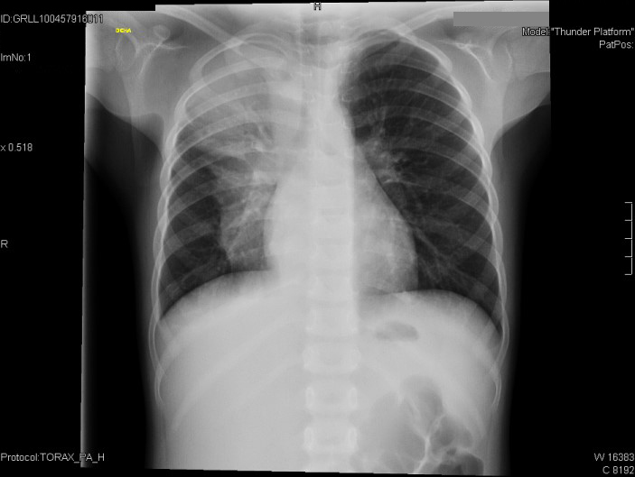
  • Radiografía de tórax: aumento de densidad en lóbulo superior e inferior derecho, con componente atelectásico en lóbulo superior.
Pantalla 3 de 17
< >

No hay comentarios
Esta actividad no admite más comentarios
Compartir