Hacemos uso de cookies. Al utilizar nuestros servicios, consideramos que acepta su uso. Más información.

Evolución (1)

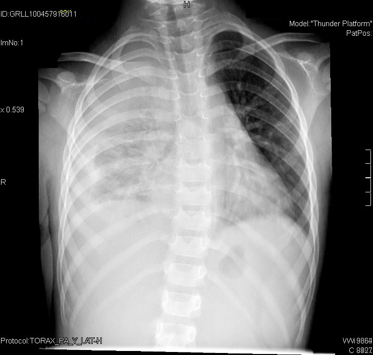
Tras 48 horas con tratamiento antibiótico, persiste la fiebre y aparece un dolor súbito en el costado derecho, por lo que se realiza una radiografía de tórax de control.

Ante el hallazgo de derrame pleural, solicitamos una ecografía torácica, que es informada como: marcado derrame pleural derecho y hepatización del pulmón adyacente, con zona máxima de grosor del derrame de 19 mm.

Se realiza una toracocentesis diagnóstica, con los siguientes resultados de la bioquímica del derrame pleural:

  • Glucosa 8 mg/dl. Proteínas 3,6 g/dl. LDH 1807 U/l. Lactato 8,20 mmol/l. pH 7,05.
  • Leucocitos 3900 cel/mm3, polimorfonucleares (PMN): 84%, mononucleares (LM): 16%.
  • Cultivo de aerobios, anaerobios, hongos y micobacterias: negativo.
  • Antígeno S. pneumoniae: positivo.

En este momento, nos encontramos frente a una neumonía adquirida en la comunidad complicada con derrame de probable etiología neumocócica.

Pantalla 6 de 17
< >

No hay comentarios
Esta actividad no admite más comentarios
Compartir