Hacemos uso de cookies. Al utilizar nuestros servicios, consideramos que acepta su uso. Más información.

Evolución (2)

El quinto día de ingreso, que era el segundo con ampicilina a 300 mg/kg/día, nuestra paciente continúa con fiebre y excelente estado general. El drenaje del tubo pleural es escaso (< 35 ml) en las últimas 24 horas, por lo que lo retiramos. Los hemocultivos sacados al ingreso resultan negativos y la analítica en ese momento muestra 23,63 10E3/µl leucocitos y PCR de 343 mg/l.

Dos días después, el séptimo día de ingreso, continuaba con fiebre de hasta 39 °C, junto con tos y aumento de la rinorrea, por lo que pedimos un lavado nasal para gripe, que resultó negativo. La analítica, aunque sigue presentando datos de leucocitosis y PCR elevada, empieza a mejorar: 17,93 10E3/µl, PMN 85,4%, LM 8,7%, hemoglobina (Hb.) 9,1 g/dl, hematocrito (Hto.) 27,5%, plaquetas 650 10E3/µl, PCR 286,2 mg/l.

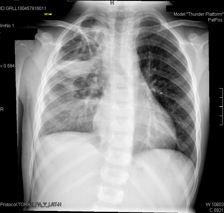
Le realizamos una radiografía de tórax de control.

Pantalla 8 de 17
< >

No hay comentarios
Esta actividad no admite más comentarios
Compartir