Hacemos uso de cookies. Al utilizar nuestros servicios, consideramos que acepta su uso. Más información.
Más información

Técnica y proyecciones habituales en Pediatría.

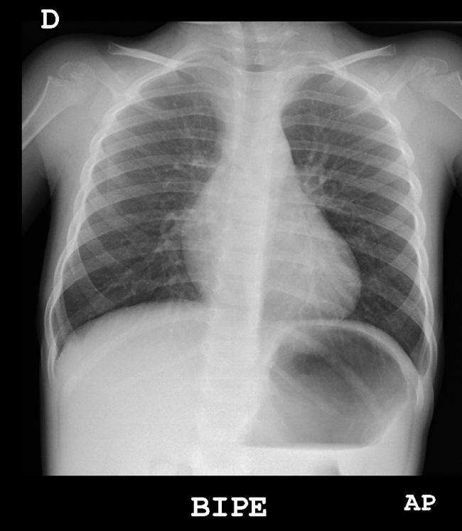
Radiografía AP de tórax normal en niño de tres años

Debemos respetar el principio ALARA y reducir el número de exploraciones necesarias

En el estudio de la patología respiratoria en el niño, la radiografía (Rx) de tórax es la primera técnica de imagen a realizar. De forma rutinaria, en la edad pediátrica se realiza exclusivamente la radiografía anteroposterior (AP), o posteroanterior en los niños más mayores, reservando la proyección lateral para dudas razonables en la AP. Habitualmente, los estudios en niños colaboradores se realizan en bipedestación, mientras que en los más pequeños se realizan en decúbito supino1.

Debemos respetar el principio as low as reasonably achivable (ALARA), empleando la menor cantidad de radiación posible para un correcto diagnóstico. En Pediatría, habitualmente solo solicitaremos radiografías AP e intentaremos reducir el número de exploraciones necesarias.

Pantalla 1 de 31
>

No hay comentarios
Esta actividad no admite más comentarios
Compartir