Hacemos uso de cookies. Al utilizar nuestros servicios, consideramos que acepta su uso. Más información.

Patología torácica urgente (1)

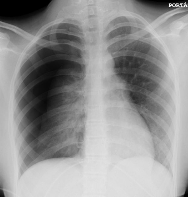
Niño de 15 años con dolor torácico derecho súbito.

Las patologías torácicas urgentes incluyen el neumotórax, neumomediastino, derrame pleural y pericárdico, y aspiración de cuerpo extraño4,5.

Neumotórax

Es la consecuencia de la entrada de aire en la cavidad pleural por diferentes causas (espontáneo, traumatismos, patología pulmonar…). Origina un colapso pulmonar de mayor o menor grado, con la repercusión mecánica respiratoria y hemodinámica correspondiente.

Se manifiesta con diferente imagen según si la radiografía se realiza en bipedestación o decúbito. En la radiografía en bipedestación observaremos un área hiperlucente periférica sin marcas vasculares, delimitada por una línea correspondiente a la pleura visceral. Cuando el neumotórax es grande y el pulmón se colapsa en mayor grado, observaremos mayor desplazamiento mediastínico, aplanamiento del diafragma y ensanchamientos de los espacios intercostales.

En la radiografía en decúbito supino, el aire tiende a localizarse anterior y medialmente, dibujando el contorno mediastínico.

Pantalla 10 de 31
< >

No hay comentarios
Esta actividad no admite más comentarios
Compartir