Hacemos uso de cookies. Al utilizar nuestros servicios, consideramos que acepta su uso. Más información.

Patología torácica urgente (2)

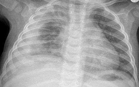
Varón de dos años con derrame pleural.

Neumomediastino

Podemos identificar una línea aérea rodeando la silueta cardiaca, así como el signo del diafragma continuo (presencia de aire entre el corazón y el diafragma). Puede asociar enfisema subcutáneo y/o neumotórax.

Derrame pleural

Apreciaremos un aumento de la densidad del hemitórax afecto, con borramiento del seno costofrénico y pérdida de la definición del hemidiafragma correspondiente. Puede existir desplazamiento mediastínico dependiendo de la magnitud del derrame.

Derrame pericárdico

Identificaremos cardiomegalia.

Para ambos tipos de derrame, la ecografía es una técnica útil para confirmar la presencia y características del derrame.

Pantalla 11 de 31
< >

No hay comentarios
Esta actividad no admite más comentarios
Compartir