Hacemos uso de cookies. Al utilizar nuestros servicios, consideramos que acepta su uso. Más información.
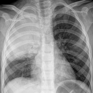
Neumonía bacteriana en lóbulo superior derecho.

Hallazgos característicos de la neumonía bacteriana y sus complicaciones (1)

La radiografía no determina la causa de la infección. Ante un niño con sospecha de infección respiratoria se emplea para detectar la presencia o no de neumonía y valorar posibles complicaciones.

La neumonía bacteriana se presenta habitualmente como un patrón alveolar de márgenes mal definidos, con tendencia a confluir, y de distribución segmentaria o lobar. A veces presenta el signo del broncograma aéreo, por el contraste entre la vía aérea y el espacio aéreo ocupado. Puede asociar derrame pleural6-8.

¿Cómo diferenciamos entre una neumonía bacteriana y una vírica?

Pantalla 15 de 31
< >

No hay comentarios
Esta actividad no admite más comentarios
Compartir