Hacemos uso de cookies. Al utilizar nuestros servicios, consideramos que acepta su uso. Más información.

Tuberculosis

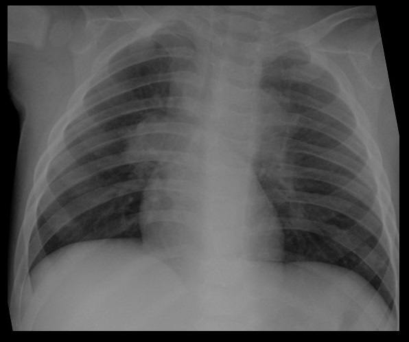
Primoinfección tuberculosa en niño de un año

Lo más frecuente en niños es la primoinfección, adquirida por inhalación de Mycobacterium tuberculosis.

La afectación del parénquima pulmonar no es habitual, pero se puede manifestar como un infiltrado alveolar, asociado o no a derrame.

Las adenopatías hiliares y/o mediastínicas son con frecuencia la única manifestación radiológica en niños. Observaremos un aumento del tamaño de los hilios, con ocupación de la región paratraqueal o subcarinal, con horizontalización de los bronquios principales.

La tuberculosis miliar puede darse en niños y pacientes inmunocomprometidos; en ese caso identificaremos en la radiografía nódulos de 2-3 mm en ambos pulmones, con predominio en lóbulos inferiores.

La tuberculosis posprimaria se suele encontrar en adolescentes y adultos jóvenes, por reactivación de una infección previa. Podemos encontrar consolidaciones mal definidas y cavitaciones irregulares, habitualmente sin adenopatías.

Pantalla 18 de 31
< >

No hay comentarios
Esta actividad no admite más comentarios
Compartir