Hacemos uso de cookies. Al utilizar nuestros servicios, consideramos que acepta su uso. Más información.
Timo normal

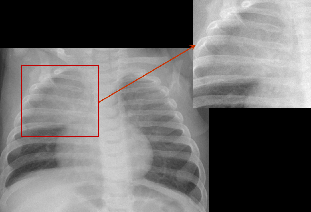
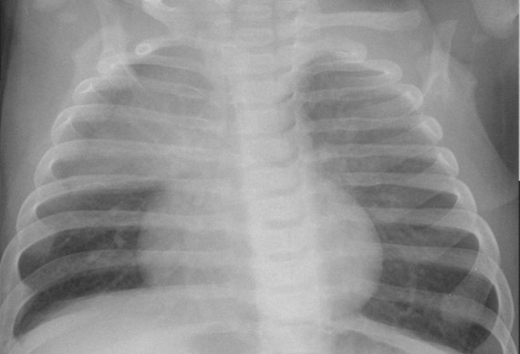
El timo y sus variantes anatómicas normales (1)

El timo es una glándula mediastínica anterior que forma parte del sistema inmune. En el neonato presenta un tamaño grande en proporción al tórax, y no se suele identificar en radiografías de mayores de 2-3 años. En condiciones normales se presenta en la radiografía como una masa de densidad agua que no comprime la vía aérea ni los grandes vasos, pues es de consistencia blanda y se adapta a las estructuras vecinas.

Existen signos típicos que permiten diferenciarlo en la radiografía:

  • Signo de la vela tímica: forma triangular unilateral.
  • Signo de la oleada: contorno suavemente festoneado por la impronta de los arcos costales anteriores.

Puede simular una cardiomegalia o una masa mediastínica, a veces puede simular un tumor o una neumonía. Ante dudas razonables, podemos solicitar una ecografía torácica.

Pantalla 21 de 31
< >

No hay comentarios
Esta actividad no admite más comentarios
Compartir