Hacemos uso de cookies. Al utilizar nuestros servicios, consideramos que acepta su uso. Más información.

Anomalías congénitas

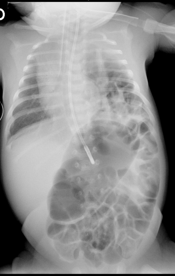
Hernia de Bochdalek en niño de diez días de vida.

Ante una radiografía de tórax de sospecha de malformación pulmonar, traqueobronquial o vascular, debemos solicitar completar en estudio mediante tomografía computarizada o resonancia magnética

La principales anomalías congénitas son6,9:

  • Las malformaciones congénitas pulmonares son consideradas en la actualidad como un espectro continuo de patología, y su estudio excede el objetivo de este curso. Las más frecuentes son el enfisema lobar congénito, los quistes del intestino anterior (broncogénicos, entéricos, neuroentéricos), las malformaciones de la vía aérea pulmonar (malformación adenomatoidea quística) y el síndrome del pulmón hipogenético (síndrome de la cimitarra).
  • Las malformaciones congénitas traqueobronquiales son poco frecuentes, suelen manifestarse en el periodo neonatal e incluyen la estenosis traqueal congénita.
  • Las malformaciones diafragmáticas pueden causar un grado variable de hipoplasia pulmonar y distrés respiratorio.

    La hernia diafragmática más frecuente es la de Bochdalek, por el foramen pleuroperitoneal posterior, habitualmente izquierdo. En la radiografía se presenta como una masa intratorácica con asas intestinales en su interior. La hernia de Morgagni se localiza anterior y derecha, y es menos frecuente.

    Las eventraciones diafragmáticas se presentan en la radiografía como una elevación anormal de un hemidiafragma, secundario a una paresia o parálisis diafragmática.

  • Los anillos vasculares se producen cuando el arco aórtico y/o grandes vasos rodean completamente la tráquea o el esófago, provocando un grado variable de compresión sobre estos.
Pantalla 24 de 31
< >

No hay comentarios
Esta actividad no admite más comentarios
Compartir