Hacemos uso de cookies. Al utilizar nuestros servicios, consideramos que acepta su uso. Más información.

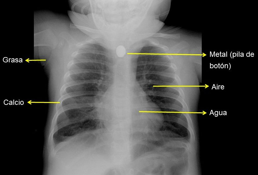
Densidades radiológicas

Lactante de 6 meses tras ingesta de pila de botón

La interfase entre dos densidades distintas provoca el signo de la silueta, dibujando márgenes precisos entre las estructuras de distinta densidad

Las densidades radiológicas son cinco, de mayor a menor penetración, que podemos identificar en la radiografía de tórax en:

  • Aire: parénquima pulmonar.
  • Agua: mediastino.
  • Grasa: tejido celular subcutáneo.
  • Calcio: estructuras óseas.
  • Metal: cuerpos extraños metálicos.
Pantalla 3 de 31
< >

No hay comentarios
Esta actividad no admite más comentarios
Compartir