Hacemos uso de cookies. Al utilizar nuestros servicios, consideramos que acepta su uso. Más información.
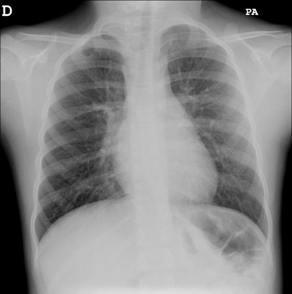
Radiografía AP en niña de siete años

¿Encuentra algún hallazgo en esta radiografía?

Lectura sistemática de la radiografía de tórax

Es recomendable ser metódicos en la evaluación de la radiografía de tórax. Debido a que la radiografía suele realizarse para examinar el parénquima pulmonar, sugerimos comenzar por revisar el resto de estructuras, como la pared torácica, la vía aérea y los hilios pulmonares, sin dejar de observar el cuello y el hemiabdomen superior incluidos en la placa2,3:

  • Pared torácica: debemos buscar fracturas, malformaciones u otras lesiones óseas destructivas que puedan ser indicadoras de patología como osteomielitis o tumores óseos. No hay que olvidarnos de los tejidos blandos: piel, grasa y músculo.
  • Vía aérea: identificaremos la posición de la tráquea, habitualmente en línea media discretamente a la derecha del mediastino por el desplazamiento del arco aórtico. Una anomalía en su posición puede indicar una masa torácica o patología vascular.
  • Hilios pulmonares: valorar la presencia de adenopatías.
  • Mediastino: valorar el tamaño y la morfología cardiacos y de grandes vasos. El timo es la glándula situada en el mediastino anterior habitualmente visible en niños menores de dos años. Los signos que nos ayudan a identificarlo y sus variantes anatómicas se tratarán más adelante en el curso.
  • Parénquima pulmonar: como norma general, tenemos que evaluar las asimetrías, densidades focales o difusas y determinados patrones radiológicos que iremos viendo en el transcurso del curso.
Pantalla 7 de 31
< >

No hay comentarios
Esta actividad no admite más comentarios
Compartir