Hacemos uso de cookies. Al utilizar nuestros servicios, consideramos que acepta su uso. Más información.

Signos radiológicos generales (1)

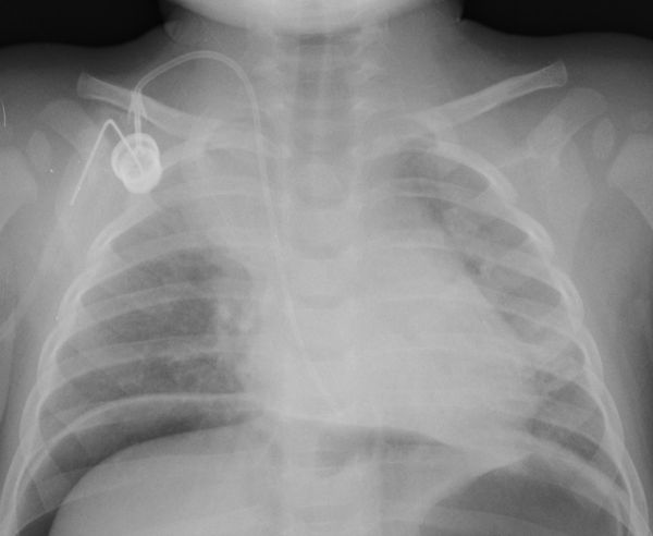
Neumoperitoneo en paciente oncológico de 15 meses.

Signo de la silueta (2)

Así, en condiciones normales, en el diafragma apreciamos claramente su borde superior (densidad agua del diafragma junto a densidad aire del pulmón), mientras que su borde inferior en el lado derecho no es visible puesto que está adyacente a la densidad también agua del hígado.

En esta figura vemos cómo definimos el diafragma a ambos lados debido a la existencia de neumoperitoneo interpuesto entre este y el hígado. Por el mismo signo de la silueta definimos el reservorio de quimioterapia de densidad metal, superpuesto a densidades calcio, agua y aire.

Signo del broncograma aéreo

Visualización de los trayectos bronquiales aireados a través de una opacidad pulmonar patológica. El ejemplo más típico es el de la neumonía.

Signo de la lesión extrapleural

Las lesiones extrapleurales presentan un borde convexo y nítido, formando un ángulo obtuso respecto a la pared torácica. Sin embargo, una lesión pulmonar periférica en contacto con la pleura, formará ángulos agudos.

Pantalla 9 de 31
< >

No hay comentarios
Esta actividad no admite más comentarios
Compartir