Hacemos uso de cookies. Al utilizar nuestros servicios, consideramos que acepta su uso. Más información.

Diagnóstico

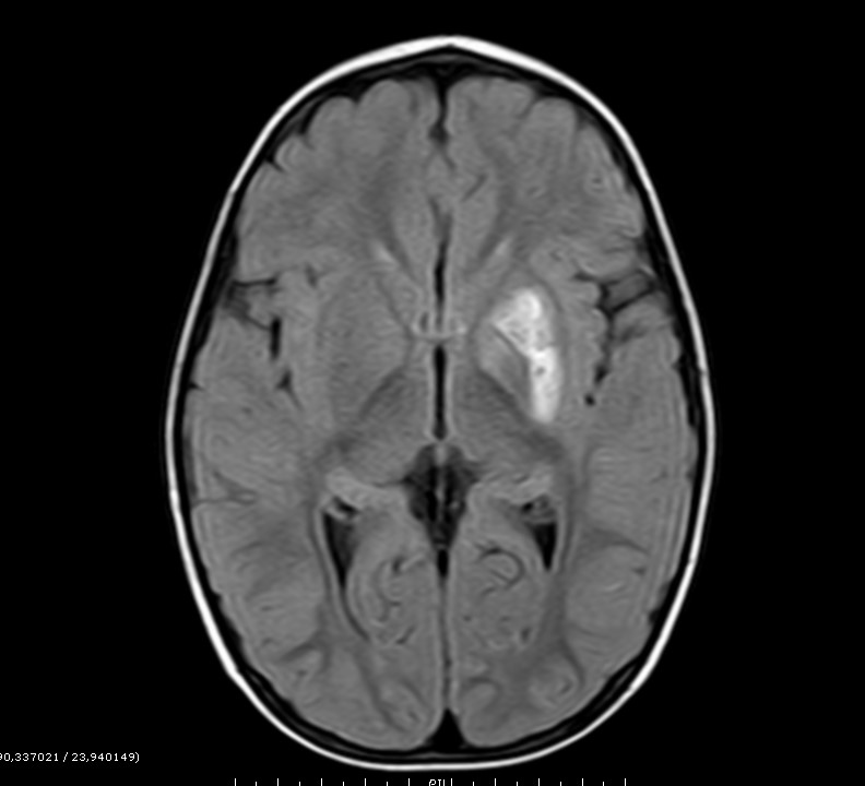
Ante la aparición de una focalidad neurológica de forma aguda/subaguda, se realizó una prueba de imagen urgente con tomografía computarizada (TC) craneal, en la que se aprecia una hipodensidad bien definida en ganglios basales izquierdos que afecta a la cabeza del núcleo caudado, el núcleo lenticular y el brazo anterior de la cápsula interna, sin edema vasogénico circundante y con tracción del asta anterior del ventrículo lateral izquierdo (hallazgos sugestivos en primer lugar de lesión isquémica antigua).

Posteriormente se realiza una resonancia magnética (RM) craneal con angiografía que nos da un diagnóstico más preciso.

Pantalla 8 de 13
< >

No hay comentarios
Esta actividad no admite más comentarios
Compartir