Hacemos uso de cookies. Al utilizar nuestros servicios, consideramos que acepta su uso. Más información.

Pruebas complementarias (1)

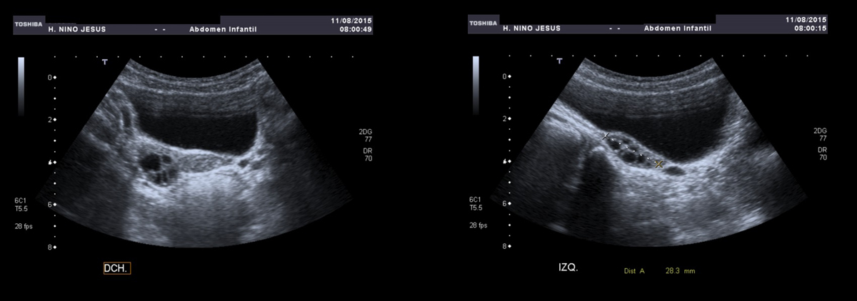
Por la leve aceleración de la edad ósea y haber obtenido en el test de LHRH un pico máximo de LH inferior a 7 UI/l (lo cual descarta una pubertad precoz central), se decide completar el estudio con una ecografía pélvica.

Ecografía pélvica:

  • Útero de morfología prepuberal (medición aproximada 29 mm).
  • Ovarios en el límite alto de la normalidad para la edad de la paciente (ovario derecho 21 mm e izquierdo 28 mm).
  • Múltiples quistes foliculares en ambos ovarios.
Pantalla 8 de 14
< >

No hay comentarios
Esta actividad no admite más comentarios
Compartir